Как щедрость зависит от медитации?

На первый взгляд, глупый вопрос. Да и вообще где связь? Неужели медитация влияет на расположение человека к другим людям? Психологи из США задались похожим вопросом и провели рандомизированное исследование с участием почти 300 студентов. Отбирали тех, кто обратился за помощью в центр психологической поддержки при университете. У них диагностировали депрессивные или тревожные состояния.
Все добровольцы беседовали с психологом, но вместе с тем проходили дополнительную терапию. Их случайным образом разделили на три группы. В первой студенты еженедельно писали письма благодарности. На протяжении трех недель они благодарили близких, себя или возможности, которые подарила им жизнь за это время. Участникам второй группы предлагалось рефлексировать над негативными эмоциями, скопившимися за неделю. Они описывали, что их больше всего расстроило, и как они пережили этот опыт. Третья группа ничего не делала — служила контрольной.
Результаты оценивали по анкете студентов, которую те заполняли дважды: спустя один и три месяца после эксперимента. А также по снимкам фМРТ во время второй части исследования. Ее тоже провели после трехмесячного перерыва. Суть заключалась в следующем: участникам представляли некоего «благодетеля», который щедро награждал их деньгами. Взамен он просил лишь об одном: поделиться всей суммой или ее частью с кем-то еще, если они благодарны ему. Процесс принятия решения фиксировали в томографе, поэтому ученые видели, как меняются мозги испытуемых.

Более благодарные люди жертвовали больше денег. У них же, по сравнению с теми, кто не испытывал подобного чувства, ярче выражалась активность нейронов в медиальной префронтальной коре (ПФК) — зоне, которая отвечает за принятие решений и за чувство правильного и неправильного. Пациенты с повреждениями в ней чаще лгут, воруют, нарушают закон и т.д. Как ни странно, но среди благодарных испытуемых оказалось больше тех, кто писал соответствующие письма во время терапии.
Казалось бы, какое отношение этот эксперимент имеет к медитации? Однако среди техник майндфулнес есть одна, которая как раз посвящена благодарности. Ее сложно описать словами, так как для понимания лучше всего войти в состояние осознанности, которое наступает с медитацией, и уже тогда определить, как она работает. Если сказать проще, то это свобода, при которой ваш ум сам найдет ответ на вопрос «Чему вы больше всего благодарны в данный момент?»
Если вы выполните упражнение по всем правилам и не станете напрягаться, выдумывая ответ, то результат скорее всего вас удивит. У меня оно вызвало тоску и грусть. Сперва я даже не мог облечь в слова приходящие мысли. Всплывали только чувства и образы. Потом, после нескольких попыток, я стал больше задумываться над своими эмоциями и понял, что благодарен самому факту существования — именно эта мысль вызывала у меня грусть. Не знаю, отдал бы я больше дарованных денег человеку после медитации, чем до, но определенное спокойствие эта техника точно подарила.
«Медитации на каждый день. Раскрытие внутренних способностей», Роман Доля
Автор излагает в своей книге практики, которые специалисты называют уникальными инструментами самопознания. Наряду с этим они обладают и практической пользой, поскольку детально объясняют все тонкости медитативной науки, показывают смысл осознания своего места, помогают исцелять тело и душу. Медитация представлена здесь как способ духовного роста, благодаря которому человеку раскрываются его возможности и восстановление здоровья через наполнение световыми энергиями. Божественный мир, поставляющий эти энергии, позволяет разуму преодолеть заблуждения и выйти на новый уровень развития. В книге описываются простейшие техники медитации, что делает ее доступной для читателей, далеких от духовных изысканий.
Дэниел Сигел, «Майндсайт. Новая наука личной трансформации» (МИФ, 2015)
Эта книга входит в топ amazon.com в разделе «Психология».
Дэниел Сигел – доктор медицинских наук, детский психиатр. Он является обладателем многочисленных профессиональных наград, автором более десяти книг о работе мозга и воспитании детей, получивших высокие оценки читателей и критиков. Доктор Сигел – директор образовательного центра Mindsight Institute.
Даниэль Гоулман, автор книги «Эмоциональный интеллект», так отозвался о работе своего коллеги: «Теория майндсайта Дэниела Сигела невольно заставляет нас воскликнуть «Эврика!», помогая разобраться в бесконечной путанице беспорядочных эмоций, зачастую сводящих нас с ума».
И, действительно, профессор Дэниел Сигел объясняет, как способность фокусировать внимание на своем внутреннем мире может существенно менять качество жизни: «Наше умение концентрировать внимание – ключ к интегративным трансформациям в структурах мозга. Благодаря ему мы можем наиболее эффективно использовать силу осознанности, предоставляя себе альтернативу выбора и изменения»
Что даст развитие осознанности?
Итак, я дал тебе понять, что осознанность в целом может изменить твою жизнь в лучшую сторону, но давай посмотрим как конкретно это повлияет на твое развитие во всех 7 сферах.
Повысится уровень духовности. У человека, который сделал осознанность частью своей повседневной деятельности, происходит переосмысление всей своей жизни. Появляется четкое понимание того, почему происходят те или иные события, встречаются те или иные люди, что приводит к успеху или неудачам. Это будет делать тебя более благодарным и более любящим. Ты начнешь ощущать и верить в присутствие некой незримой Силы, которая ведет тебя по пути твоего истинного предназначения.
Ускорится личностный рост. Неосознанный человек двигается по жизни без целей, поэтому он очень легко управляем. Отсутствие желаний, целей и направлений делает его несчастным. Осознанность позволяет человеку взять ответственность за свою жизнь и самому решать куда и как двигаться. У таких людей существуют четко сформулированные жизненные цели
Ты осознаешь наиболее важное для тебя, избавляясь от всего ненужного. Таким образом, осознанность позволяет быть тебе более эффективным во всем
Возрастет энергетический потенциал. В погоне за успешной жизнью неосознанный человек забывает про свое здоровье, что в итоге рано или поздно приводит к истощению или серьезным заболеваниям. Став более осознанным, ты научишься слышать и понимать свое тело, находить истинные причины недомоганий и устранять их. Осознанный подход к вопросам сна, здорового питания и физических нагрузок позволит тебе держать высокий уровень энергии, которая является фундаментом для более быстрого развития личности.
Улучшатся отношения с окружающими. Многие наполняют свои отношения с близкими людьми различными ссорами и обидами из-за низкой осознанности. Одни привыкли строить «воздушные замки» на стереотипах «как должно быть». Другие с головой погружаются в конфликтные ситуации и реагируют на «раздражители» ссорами и криками. Осознанность позволяет взглянуть на любую ситуацию со стороны, сделать верные выводы, проанализировать свои модели поведения и заменить их на более эффективные.
Николай Сысоев
7 сфер жизни
Система гармоничного развития личности, которая приведет к счастью, успеху и богатству
1 уникальная система развития личности
3 важных вопроса для осознанности
7 сфер для создания гармоничной жизни
21 вектор для эффективного развития
читать книгу
Будет развиваться карьера или бизнес. Только осознанный человек может стать успешным в карьере и бизнесе. Неосознанный человек способен только на то, чтобы выполнять понятный и привычный алгоритм действий изо дня в день, оставаясь постоянно в зоне комфорта и никак не реализуя свой творческий потенциал. Такие люди никогда не испытывают того драйва, который ведет вперед успешных специалистов, различных творческих личностей, управленцев и предпринимателей.
Увеличится денежный поток. Осознанное отношение к деньгам позволяет решить все свои финансовые проблемы и повысить уровень благосостояния. Путь к финансовой независимости и свободе начинается с мышления и внутреннего состояния. Неосознанность приводит к тому, что люди не отслеживают свои негативные установки и ментальные якоря, которые просто блокируют потоки денежной энергии. Только будучи осознанным можно управлять финансовым потоком, чтобы со временем он только увеличивался.
Появится яркость в жизни. Осознанность делает жизнь более яркой и интересной, а не серой, скучной и обыденной. Нахождение в моменте здесь и сейчас в качестве наблюдателя делает каждое мгновение по-своему уникальным и красивым. Но так как большинство людей «спит», то они не замечают всей этой красоты вокруг, а просто погружаются в череду бесконечно тянущихся серых будней с мечтами о занятиях своим любимым делом, интересном досуге и о запоминающихся путешествиях.
Какой вывод следует из вышенаписанного?! Если ты будешь постоянно совершенствоваться в практике осознанности, то будешь более эффективно развиваться во всех сферах жизни. Осознанность является очень важным вектором развития личности, над которым необходимо работать в первую очередь. Без него создать гармоничную жизнь у тебя вряд ли получится! Еще раз напомню, что только осознанный человек может управлять своей жизнью! Иначе твоей жизнью будет управлять кто-то другой! Ты этого хочешь? Думаю, нет!
Что такое осознанность?
Осознанность — это процесс пробуждения сознания, который заключается в постоянной внимательности
Когда во время каких-либо действий вообще не происходит блуждания в мыслях, а все внимание направлено на то, что происходит конкретно в данное мгновение жизни
Основная цель практики осознанности заключается в том, чтобы отвлечь свое внимание от мыслей о происходящем и перевести их на происходящее в моменте «здесь и сейчас». Мне нравятся слова одного дзенского мастера о практике осознанности: «Когда я ем – я ем, когда несу воду – я несу воду»
Это, можно сказать, чрезвычайно важный и ключевой момент практики, который позволяет пробуждать наше сознание.
Осознание — это прожектор нашего внимания, направленный внутрь себя или вовне, который помогает подсветить проблему или какой-то процесс, делает это более видимым, ясным и понятным.
Восприятие обычного человека похоже на полудремотное состояние, в котором бессознательно происходит «покадровое» сканирование происходящего в текущий момент времени. Затем информация, полученная в форме образов, переходит к более детальной обработке уже при помощи ума. Получается, что человек теряет контакт с чистой реальностью, которую ему подменяют его (кармически) обусловленные мысли. А чтобы выйти из этого «дремлющего» состояние необходимо начать практиковать и двигаться в сторону осознанной жизни.
Осознанная жизнь — это жизнь вне всяких условностей, навязанных со стороны жизненных ценностей, различных желаний и образов поведения.
Только у развитого человека появляется запрос на осознанную жизнь
Он начинает обращать внимание на свой внутренний мир (на свои желания, эмоции и мысли). Начинает видеть точную взаимосвязь между своими результатами во внешнем мире и своим внутренним состоянием
Такие люди не просто хотят удовлетворить свои базовые потребности, но и хотят развиваться как личности, получать больше радости и удовольствия от жизни, от взаимодействия с другими людьми, от своей полной самореализации.
Быть осознанным — это значить быть ответственным за свою жизнь.
Неосознанный человек в большинстве случаев только реагирует. Осознанный больше действует. Осознанность позволяет замечать проблемы еще на стадии их возникновения и эффективно их решать. А управлять можно только тем, что осознаешь. Поэтому осознанность — это ключ к управлению своей жизнью!
Так что там насчет стресса?
Все гуру медитации повторяют одно: цель упражнений не в том, чтобы снижать стресс. Если человек в процессе медитации или после нее чувствует себя отдохнувшим и менее напряженным, то это лишь приятный бонус. Основной же смысл — самопознание. Однако западную науку больше всего интересует именно побочный эффект. Действительно ли медитация снижает уровень стресса? Если да, то в чем секрет? Ответы на эти вопросы ищут многие американские психологи и физиологи. К сожалению, однозначных истин нет до сих пор, но есть намеки, по которым мы определяем ответ на первый вопрос.

Большой вклад в открытие этих намеков внесла нейрофизиолог Сара Лазар из Гарвардского университета. Еще в начале нулевых она исследовала мозги медитирующих при помощи томографа. Оказалось, что у этих людей больше связей между нейронами в ПФК, чем у среднестатистических американцев. Но то могла быть случайность — совпадение генетической или средовой информации. Поэтому позже она провела другой опыт, в котором показала, что после двух месяцев медитации у обычного человека действительно меняется мозг.
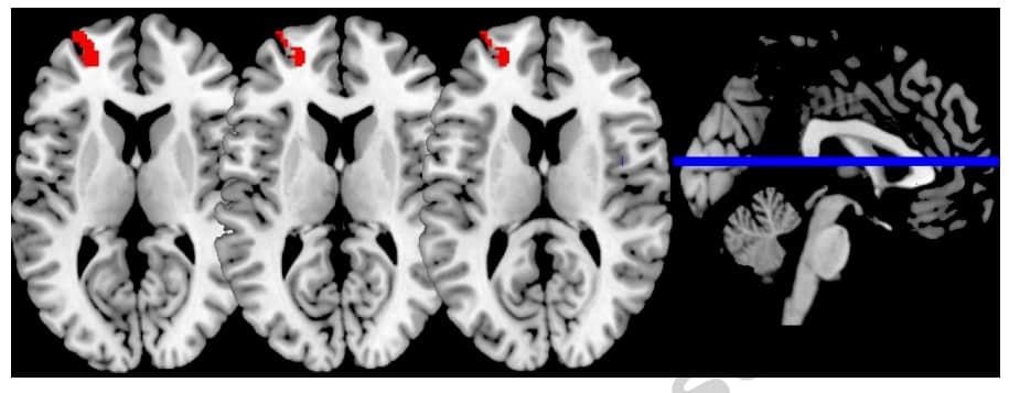
Лазар привлекла 16 человек, которые никогда не медитировали. Поместила их в томограф и сделала контрольный снимок мозга. Затем каждому предложила программу ежедневной медитации осознанности: всего 30-40 минут в день на протяжении восьми недель. По прошествии этого периода всех испытуемых снова обследовали в томографе. Что же увидела Лазар и ее коллеги? Во-первых, увеличенный гиппокамп — область мозга, ответственная за память, обучение и регуляцию эмоций. Во-вторых, уменьшенную миндалину, которую часто связывают с реакцией «бей или беги». Обычно она активируется при стрессе. Интересно, что ее сокращение коррелировало с оценкой самих испытуемых. Те отмечали сниженный уровень стресса после двухмесячного курса.
На снимке указана зона миндалины, которая уменьшилась после эксперимента
Схожие результаты демонстрировали и другие независимые исследования. Например, канадские психологи из Монреальского университета показали, что миндалина может уменьшиться и после одной недели ежедневных 20-минутных занятий. Даже такого короткого срока достаточно, чтобы снизить ее активность в ответ на негативные картинки с насилием или жертвами катастроф. О такой тенденции говорят и метаисследования.
На данный момент у меня страйк в две недели. Я не отлынивал ни одного дня и могу сказать точно, что ощущения изменились. Появилось необычное чувство собранности. Иногда во время медитации кружится голова, иногда приходят неприятные мысли, иногда кажется, будто руки срослись в одну — всегда что-то новое и необычное, но каждый раз после медитации возвращается чувство спокойствия и присутствия в моменте. Его сложно охарактеризовать одним словом. Для него стоило бы придумать новое, а возможно, оно уже есть в тибетском языке. Это чувство вмещает в себя созерцание окружающего мира, его принятие и внимательность к собственному состоянию ума. Возможно, звучит безумно, но по-другому описать сложно.
Долгосрочные исследования показывают, что чем дольше курс, тем заметнее эффект, поэтому я продолжу изучать новые техники. Возможно, они откроют новый опыт, а через пару месяцев у меня накопится материал на вторую часть. Тогда можно затронуть более специфические темы, такие как тукдам или нечувствительность к боли во время медитации. О них мы знаем еще меньше, но оттого интереснее прикасаться к неизведанному.
Изображения в статье — картины кубинского художника Томаса Санчеса, который пишет в медитативном состоянии и любит изображать бодхи — дерево просветления.
Если я хочу познать глубже?
В этом вам наверняка поможет книга Юрия Каптена «Основы медитации. Вводный практический курс».
Здесь автор расскажет не только о том, как обучиться различным практикам и выбрать наиболее подходящую, но и понять медитацию как концепцию, какое она занимает место в мировых религиях и степень ее влияния на историческую культуру. Вы сможете узнать это искусство не только как духовную практику, но и как к ней пришло человечество, какие правила и условия необходимо соблюдать для лучшего результата, какие упражнения для этого вам доступны. Таким образом, вы откроете для себя мир равновесия и гармонии, сможете разобраться в данной теме, подойти к ней осознанно и неспешно.
Признаки качественной информации о медитации
1Простота и практичность. Все объясняется понятно, логично. Вам ясно, как предлагаемую информацию применять на практике, и как это может повлиять на Вашу повседневную жизнь. Как говорилось выше, никаких трудно доказуемых утверждений и выводов, противоречащих данным современной науки. 2Фокус не на внешний результат (деньги, любовь, здоровье и т.д.), а на развитие внутренних способностей, тренировку сознания. Повторюсь, медитация – это в первую очередь инструмент для саморазвития. Внешний результат может быть получен только в результате внутренних трансформаций. В литературе, внушающей доверие, показывается, как при помощи медитации можно исследовать собственное сознание, глубже понять себя. 3Фокус не на будущем или прошлом, а на моменте «здесь и сейчас». Медитация – это практика, которая учит человека оставаться в настоящем моменте. Вы погружаете фокус внимания внутрь себя и исследуете, что происходит прямо сейчас, в эту конкретную секунду. Вы не пытаетесь что-то поменять, что-то особенное себе представить или как-то повлиять на внутренний опыт. Вы просто наблюдаете за тем, что происходит прямо сейчас. 4Невзрачность. Это, конечно, не обязательный атрибут качественной информации по медитации, но все же. Многие ожидают от медитативных упражнений каких-то особенных переживаний и ощущений. И медитативная техника должна быть соответствующая: не могут же супер-пупер результаты проявиться после простенького и ничем не примечательного упражнения! На деле же все совсем по-другому. Медитация может не приносить каких-то необычных ощущений и субъективно ощущаться как будничное и ничем не примечательное занятие. Результаты проявляются постепенно в результате регулярных тренировок.
Техники, позволяющие достичь глубоких трансформаций, обычно внешне невзрачны и просты. Но за внешней простотой скрывается бесконечная глубина. Примеры таких техник — медитация с концентрацией на дыхании и «Сканирование тела».
Итак, не гонитесь за внешней мишурой!
Чем медитация не является

Существуют два расхожих заблуждения относительно медитации. Первое — очищение ума. Многим кажется, что медитация — это своего рода перезагрузка. Чтобы выбросить тревожные мысли из головы, нужно освободиться от мусора, заполняющего разум. Провести детокс сознания. Тогда уйдут тревога и беспокойство, а вы откроете глаза другим человеком.
На деле все совсем иначе. Медитация — полная противоположность такой перезагрузки. Она про отсутствие контроля, про полную свободу и бессознательное движение мысли. При таком подходе разум напоминает рой пчел, где каждая пчела — это забытое воспоминание, новая идея, необоснованный страх или что-то совсем неожиданное, о чем вы боялись подумать.
Буддист Йонге Мингьюра Ринпоче, однажды названный журналом Time самым счастливым человеком на земле, сравнивает сознание с рекой. Во время прилива течение поднимает ил, скопившийся на дне, и тогда сложно разглядеть что-либо. Но как только грязь схлынет, в прозрачной воде видна рыба, камни и многое другое. Так и с началом медитации ум наполняется множеством мыслей, за которыми сложно уследить, но с течением времени они растворяются, оседают, и уже проще наблюдать за собственным потоком мышления.
Йонге Мингьюра Ринпоче
Второе заблуждение касается полного спокойствия
Якобы медитация должна дарить умиротворение, дзен и безмятежность, а иначе зачем она нужна? Тут важно сразу оговориться, что медитация в том смысле, в котором ее понимает западный человек, отнюдь не то же самое для монахов. В их представлении медитация — это образ жизни, при котором те упражнения, что мы привыкли называть медитацией, лишь небольшая его часть
А нужны они для самопознания. Это лишь инструмент, чтобы лучше понимать себя и то, как мы видим окружающий мир. Поэтому ни о каком спокойствии, как о самоцели, речи не идет. Однако техники, используемые в этих упражнениях, могут менять наше восприятие. Поэтому западные психологи адаптировали их под быт современного человека и окрестили практикой майндфулнес (mindfulness).
Сегодня существует множество способов приобщиться к этому движению: от книг и роликов на YouTube до всевозможных приложений. Я использовал исключительно приложение Headspace. В нем собрана гигантская коллекция самых разных упражнений: для избавления от стресса, для фокусировки внимания, для принятия утраты, обретения баланса и много чего еще. Его выпустил человек по имени Энди Паддикомб. Он пятнадцать лет учился в разных монастырях и теперь преобразует древние техники медитации в короткие и понятные инструкции. Это приложение используют и психологи, и физиологи в исследованиях стресса. Поэтому в нем объединены как многовековые практики монахов, так и последние наработки западной науки. Я решил, что это идеальная точка входа, и пока ограничил свой опыт только этим приложением.
Энди Паддикомб отвечает на вопросы
Главное, что я из них понял — это принятие собственных мыслей. Без оценки, суждений или любых других выводов. Необходимо войти в это состояние через фокус на окружении, дыхании и собственном теле. После этого начинаются различия в упражнениях. О каждом из них я буду рассказывать отдельно.
Как найти своего наставника?
Существует множество литературы от различных авторов, которые расскажут вам о видах медитации и способах достичь просветления. Здесь могут быть и радикальные методики, которые пропагандируют максимальный отказ от удовольствий материального мира до постепенных практик, где шаг за шагом вы открываете для себя новый мир осознанности и равновесия. Ниже пойдет речь об авторах и их подходах к данному искусству. А вы сможете разобраться и понять, с чего начать свой путь. Неотъемлемый атрибут в познании вопроса — это искреннее желание что-то изменить в своей жизни, необходимость выхода на новый уровень, который может быть даже еще не ясен вам самим. Но не стоит бояться — рука Вселенной направит вас нужной дорогой.
Ризван Вирк, «Бизнес в позе лотоса. Как совместить работу и духовный поиск» (МИФ, 2014)
Для многих из нас духовный рост и духовный поиск являются значимыми сферами нашей жизни. Но как совместить напряженную работу, постоянный режим многозадачности и духовный поиск? Возможно ли это?
Мне понравился тест на усталость, предложенный автором: «Тест заключается в следующем: ты должен уходить с работы, чувствуя себя более свежим, чем когда ты пришел. Если получается, значит, ты использовал работу как медитацию. Если ты уходишь измотанным, то ты сделал работу плохо».
Ризван Вирк с юных лет мечтал о собственном бизнесе. Он восхищался историями создания компаний Apple и Microsoft, надеясь создать что-то подобное. Сегодня Ризван Вирк – успешный предприниматель и инвестор.
Его книга – история человека, прошедшего путь от убежденного материалиста к глубоко духовному человеку, миссия которого – помогать другим распознавать свой путь.
Эту книгу можно рассматривать как пособие по построению бизнеса, а можно как сборник уроков для духовного роста.
Медитация лучше отдыха

Представьте себе самый напряженный день на работе. Вспомните, как хотелось отдохнуть и расслабиться после него. А теперь постарайтесь припомнить, как именно вы отдохнули. Что вы сделали, чтобы успокоиться? Что позволило вам отпустить неприятные мысли? Вспомнили? Если да, то вам легко будет ответить на следующий вопрос: помог ли вам этот отдых? Пошли ли вы на следующий день полным сил, или изнеможение только усилилось?
Прожитый вами опыт поможет лучше понять следующий эксперимент. Его провели сотрудники Университета Карнеги Меллон. Они привлекли 35 безработных, которые отчаянно искали способ себя прокормить. Эти люди, очевидно, испытывали каждодневный стресс. Исследователи помогали снять его двумя разными способами. Первую половину испытуемых отправили в так называемую Программу расслабления (relaxation training programme), вторую половину обучали техникам майндфулнес.
Эксперимент длился три дня, а результаты оценивали по снимкам МРТ до и после упражнений и забору крови, который показывал уровень интерлейкина 6 (IL-6) — провоспалительного цитокина. У медитировавших участников, в отличие от группы релаксации, уровень IL-6 значительно снизился уже через три дня интенсивных тренировок. Также в их дорсолатеральной префронтальной коре (ПФК), которая отвечает за сдерживание любых приятных, но вредных для организма порывов (вроде лишней булочки перед сном), образовалось много новых связей, чего не наблюдалось у испытуемых из первой группы.
Образование новых связей в ПФК
Более того, двухнедельное исследование, где другие две группы подвергали незначительному стрессу в виде публичного выступления перед большой аудиторией, показало, что люди, медитировавшие 20 минут в день в течение 14 дней, испытывали меньший стресс. Их уровень кортизола был значительно ниже во время выступления и быстрее приходил в норму после него.
В приложении Headspace есть отдельный вид медитации, который рассчитан на саморазвитие. Это слово лишь отдаленно отражает суть. Эта непростая техника предполагает, что вы позволите разуму делать все, что он захочет. Если его тревожат проблемы завтрашнего дня — он будет блуждать среди них. Если ему хочется думать о самом упражнении — так тому и быть. Если вдруг в голову лезут совершенно непонятные и нездоровые мысли — им тоже позволено приходить. Это свободное течение продолжится столько, сколько захотите: пять, десять, двадцать минут — вы сами определяете его продолжительность.
Сложность в том, что от мыслей трудно абстрагироваться и наблюдать со стороны. То, что вы сейчас думаете о прочитанных строках, — это одно. Но если остановиться на несколько мгновений, подышать и сосредоточиться на собственном теле, а потом как бы взглянуть на поток мышления со стороны, то состояние будет совсем иным. И если все получилось, эффект очень интересный — ощущается некий внутренний порядок. Когда после уборки все вещи разложены по своим местам, приходит чувство гордости, но и понимание, что где лежит. Примерно то же самое наступает после своеобразной ментальной чистки. Мысли распределены по полочкам и ими проще управлять. Нет облегчения в привычном смысле, но есть легкость в управлении мыслительным процессом, и это отдельное уникальное состояние.






























